Lompat ke konten Lompat ke sidebar Lompat ke footer

44+ Multiple Myeloma Bone Marrow Biopsy Pathology US

44+ Multiple Myeloma Bone Marrow Biopsy Pathology US. The procedure used to check the bone marrow is called a bone marrow sometimes it can be seen on a bone marrow biopsy. No plasma cells in bone marrow).

Multiple Myeloma
Multiple Myeloma from atlasgeneticsoncology.org
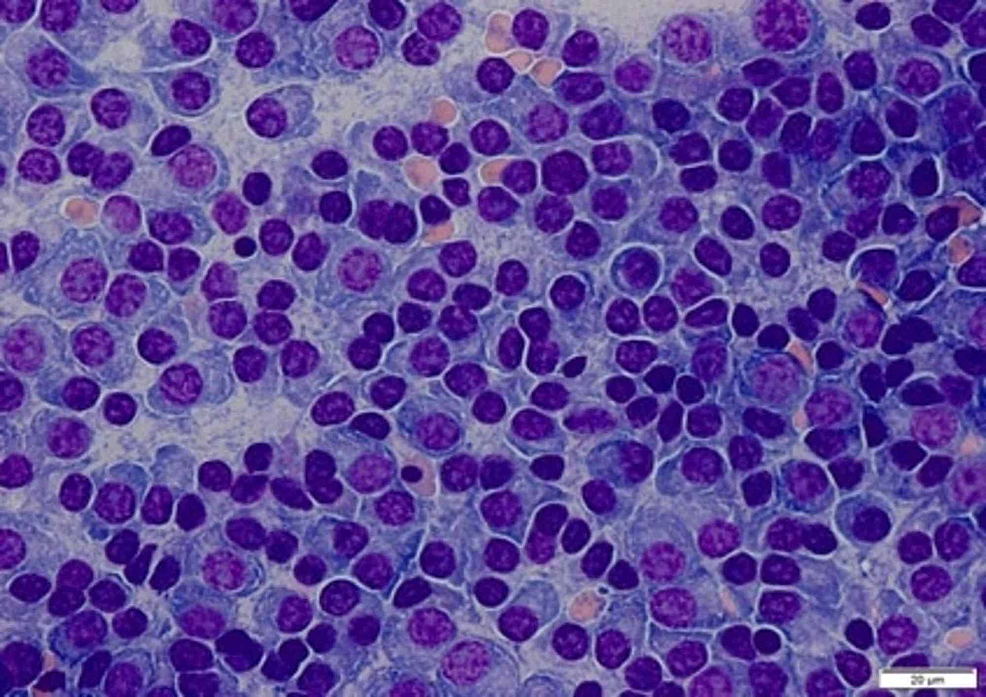
Multiple myeloma is staged by estimating the myeloma tumor cell mass on the basis of the amount of monoclonal (or myeloma) protein (m protein) in the serum and/or urine, along with various clinical parameters, such as hemoglobin and serum calcium concentrations, the number of lytic bone lesions. The bone marrow biopsy (bmb) was diagnostic for myeloma in five cases, where the aspirates to note the bone marrow histology in detail in multiple myeloma and to correlate it with clinical stage and survival. If you have the disease, the next step is determining the extent of the disease.

To diagnose multiple myeloma, doctors will take a.

Sections were analyzed by 2 observers and classified according to: In a retrospective study, 49 bone marrow biopsies (bmb) of patients with multiple myeloma (mm) were studied for its role in diagnosis and to determine histological parameters of prognostic significance. To diagnose multiple myeloma, doctors will take a. Sections were analyzed by 2 observers and classified according to:

Posting Komentar untuk "44+ Multiple Myeloma Bone Marrow Biopsy Pathology US"